近日,西安市胸科医院胸外二科成功救治一例右肺毁损合并肺癌的复杂病例,充分展现了我院在胸外科疑难重症领域的综合救治实力。经过长达12小时的精细手术和多学科团队的接力守护,患者已康复出院,为这场生命保卫战画上圆满句号。
病情复杂:当“毁损肺”遇上肺癌






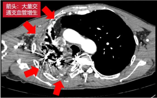
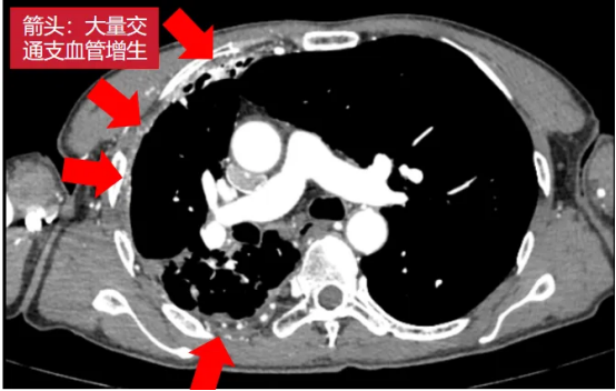
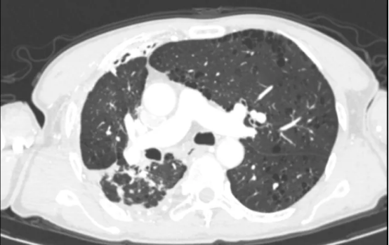
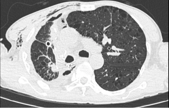
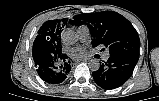
术前影像(左右滑动查看更多)
该患者为61岁男性,肺部病情错综复杂。4年前确诊肺结核后因治疗不规范,发展为“利福平耐药”结核,病情持续恶化。2年来反复咯血,虽经3次支气管动脉栓塞术暂时控制,但病灶顽固,收治入院时已形成多重诊断:毁损肺(右上)、右肺下叶鳞癌(背段)、肺曲霉菌病、陈旧性肺结核。其右肺上叶完全丧失功能,并与胸壁形成致密粘连,医学上称为“毁损肺”——胸外科领域公认的极高难度手术。
惊心动魄:12小时“荆棘丛中开路”
面对这块“硬骨头”,胸外二科韦林主任医师团队进行了周密准备。鉴于患者结核与肺癌并存,术前经多学科会诊,决定实施右肺上叶+下叶背段切除术。
手术如期进行,然而打开胸腔的瞬间,其严峻程度远超预期:胸腔呈广泛致密黏连、完全闭锁,右肺上叶仿佛被水泥浇筑在胸壁上;肺表面及壁层胸膜布满大量脆弱的新生血管,呈现出“碰一下就出血”的凶险局面。
这是一场对术者技术、毅力和心理的极限考验。韦林主任医师、汪林宝副主任医师、李楠楠副主任医师精细操作,粘连分离呈毫米级推进,每一刀都精准避开致命血管。术室内,监护仪的滴答声与电凝止血的“滋滋”声交织成紧张的交响。由于创面巨大,患者术中出血量高达4000毫升。麻醉医生与手术室护士紧密配合,快速建立输血通道,共输注红细胞12个单位、新鲜冰冻血浆800毫升、冷沉淀25个单位,相当于将全身血液置换了80%。

凌晨2点,这台历时12个小时、难度巨大的手术终于成功落下帷幕。
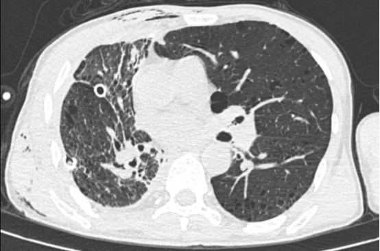
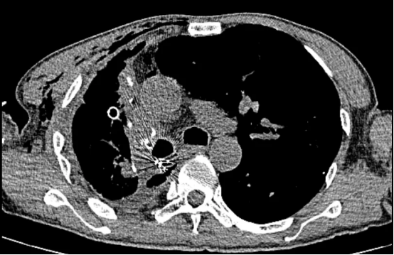
接力守护:多学科协作再显合力




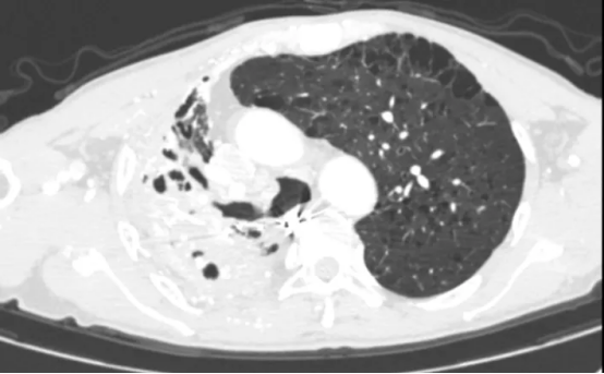
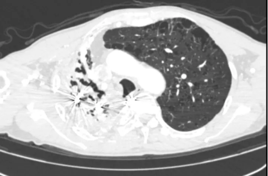
术后影像
术后,患者转入重症一科,在孙万里副主任医师的精细化治疗与护理下,患者接连闯过感染、出血、呼吸功能支持等重重难关。4天后病情趋于稳定,转回胸外二科继续康复。在医护人员的悉心照料下,患者康复出院。
此例患者的成功救治,不仅展现了我院胸外科团队在面对超复杂病情时的精准判断与过硬技术,更彰显了多学科协作(MDT)在攻坚危急重症中的强大合力。它是我院在毁损肺、困难肺部手术领域的又一次技术突破,也是医院综合救治能力的生动诠释。