
9月2日,一位辗转求医、诊断不明的罕见肺动脉高压患者,在西安市胸科医院多学科团队的共同努力下重获新生。该患者经系统评估,诊断为极为罕见的“肺静脉闭塞”,并成功接受高难度肺静脉支架植入术。术后胸腔积液完全吸收,呼吸困难等症状显著改善,目前已康复出院,重返家庭生活。更令人暖心的是,在此次治疗中,医院联合禧福祥爱心慈善基金会为患者减免了1000元手术费用,切实减轻了患者的经济负担。
多年辗转,希望重燃
患者李女士(化名)今年37岁,童年时因先天性心脏病接受室间隔封堵术。但近一两年,她逐渐出现胸闷、气短、全身水肿及反复大量胸腔积液,每日胸水引流量高达800毫升,外院多次诊断为“肺动脉高压”。虽经药物和多次胸腔穿刺引流等常规治疗,病情仍持续进展,沉重的疾病负担使她难以照顾两名孩子,生活及心理状态一度陷入低谷。
多学科精准协作明确罕见病因

患者来到我院后,医院迅速启动多学科协作(MDT)机制,心内科、肺血管病与介入医学科、心外科、肿瘤科、全科医学科等多位专家共同参与诊治。通过右心导管检查、高分辨率CT及肺血管造影等深入评估,最终明确其罹患“肺静脉闭塞”——这是一种极易误诊、预后差的罕见肺动脉高压亚型,同时合并纤维纵隔炎及肺静脉狭窄。

尖端技术破局支架植入打通“生命通道”


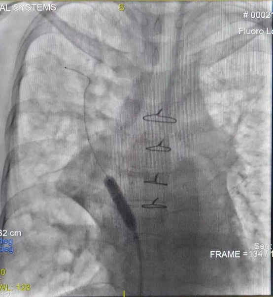
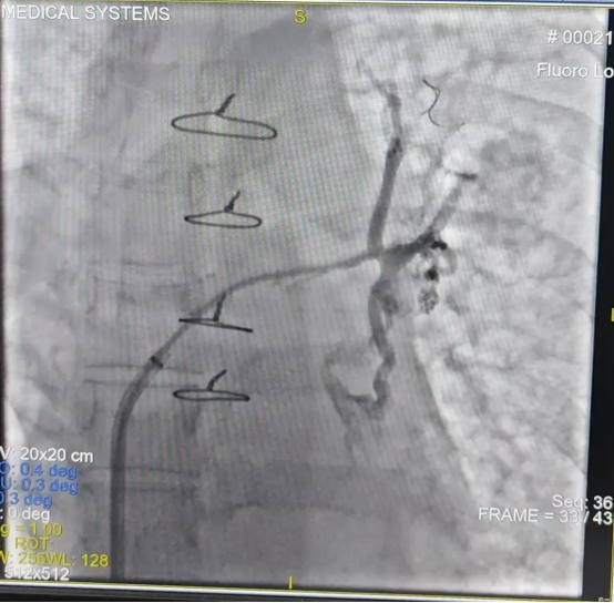
由于该手术难度极高(CMI值达17.8),心内一科与肺血管病与介入医学科联合为其制定周密手术方案。术前肺动静脉增强CT提示左肺动脉狭窄、左上、左下肺静脉闭塞,右上肺静脉狭窄。术中,心内一科尚粉青主任与孙杨医生行右心导管检查,明确其属于“毛细血管前肺动脉高压”。李积安主任、王鹏军副主任医师行经肺动脉间接肺静脉造影,再次证实左上、左下肺静脉闭塞,右上肺静脉狭窄。成功行房间隔穿刺,左肺肺静脉造影发现左上肺静脉完全闭塞,反复导丝尝试后成功开通了闭塞的肺静脉并行球囊扩张及支架植入,后再次行右肺静脉扩张,造影证实肺静脉回流正常,术后患者病情平稳,胸腔积液迅速吸收,症状明显改善,3天后胸腔积液完全消失。9月2日开学之际,李女士康复出院,终于能够回家照顾孩子,重归正常生活。
经肺动脉间接肺静脉造影:肺静脉闭塞
右上肺静脉球囊扩张
左上肺静脉开通成功进入真腔
左上肺静脉支架植入术后

彰显区域诊疗中心实力
本例成功救治彰显我院肺血管病诊疗优势,标志着我院在危急重症和罕见肺血管疾病诊治方面已达国内先进水平。目前全国仅5家医院可独立开展此类手术,我院此前已获批“西安市肺动脉高压与肺疾病防治实验室”,并担任陕西咯血专科联盟主委单位,肺动脉高压诊疗团队依托国家临床重点专科平台,整合心血管介入、影像诊断等多学科资源,实现对疑难肺血管疾病从快速诊断、个体化治疗到长期随访的全流程管理,尤其在复杂罕见病的精准介入治疗方面具有显著优势。
专家呼吁:肺动脉高压需专病专治
肺动脉高压病因复杂、易误诊,必须实施长期、规范的随访监测。心内一科尚粉青主任医师提醒大家,如出现不明原因气促、水肿、反复胸腔积液等症状,应尽早前往具备肺血管疾病专业诊疗能力的医疗机构进行系统评估,争取早期诊断和精准治疗。
本例患者的成功康复,充分体现了多学科协作与尖端介入技术在危罕心肺血管疾病救治中的关键价值。未来,我院将继续聚焦疑难危重症攻关,不断突破技术瓶颈,为更多患者带来生机与希望。